Home > 症例紹介
症例紹介
横浜市金沢区 六浦皮ふ科
|赤ら顔・しみ・ニキビ・医療脱毛|
当院で実際に治療を受けられた症例
(初回無料)
Web予約はこちら
※患者様の同意を得て写真を掲載しています。
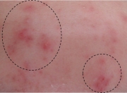
ニキビ痕
:IPLで治療

当院でIPL治療を3回行い、赤みが大幅に改善しました。
生活上の注意点やスキンケアも並行してご案内しています。
そばかす
:IPLで治療

日光性色素斑 Aさん
:ルビースポットで治療
治療前
照射1回後
1回の照射で著明に改善しました。
日光性色素斑 Bさん
:ルビースポットで治療
治療前
照射1回後
1回の照射で著明に改善しました。
日光性色素斑 Cさん
:IPLで治療
治療前
照射5回後
全顔にIPLを行いました。
赤ら顔
:IPLで治療した5症例
六浦皮ふ科の美容メニュー
携帯のバーコードリーダーでQRコードを読み取ることで携帯版ホームページへアクセスできます。
![]()
